Skip to main content

Osteoarthritis Related MR Image Biomarkers

Overview

Osteoarthritis (OA) is a disease that increases in incidence and prevalence with advancing age, such that in those over the age of 60, about 10% men and 13% women have symptomatic knee OA.  With aging of the population, the number of people in the age range with the greatest severity of OA continues to increase. Furthermore, OA is a leading cause of morbidity and disability, and thus carries high socioeconomic costs. In 2004 arthritis was estimated to cost the United States $336 billion, or 3% of gross domestic product, with OA the most common form of arthritis.

The Division of Rheumatology at Tufts Medical Center has many experienced researchers. It is recognized as one of the nation’s leading centers for the treatment of arthritis and rheumatic diseases. It has a long history of training rheumatology clinical and research fellows. It has built a productive research program that focuses on osteoarthritis and musculoskeletal disorders with emphasis on imaging aspects and on development and testing of structure-modifying interventions. The Division of Rheumatology has performed eight NIH-funded clinical trials for knee osteoarthritis and other musculoskeletal related disorders aimed at disease modification and comparative effectiveness evaluations since 2003.

Our research group has people with expertise in clinical research, statistics, and medical image processing. We have customized software to quantitatively measure OA related image biomarkers (e.g., cartilage, bone marrow lesion, effusion/synovitis, bone volume fraction, cartilage denudation, bone marrow density, etc.) from MRI or x-ray. We also have ability to exploring novel biochemical and imaging biomarkers.

Cartilage damage index (CDI)

Cartilage Damage Index (CDI) Description: 
a parsimonious cartilage assessment that focuses on areas where cartilage defects often develop. It includes 60 informative locations within femur, tibia, and patella compartments (medial and lateral).

Measurement time: 
around 15 min/pair knee MRI.

Cross-sectional reliability:
Intra-tester (ICC [3,1] = 0.96~0.98)
Inter-tester (ICC [2,1] = 0.90~0.96)

Longitudinal change reliability:
Intra-tester (ICC [3,1] = 0.80~0.82)
Inter-tester (ICC [2,1] = 0.68~0.80)

Construct Validity:
CDI is correlated with manual cartilage segmentation
CDI is correlated with JSW and knee alignment
CDI can distinguish knees with/without radiographic progression (JSN/ KL grade change)

CDI


Publications:
Zhang M, Driban JB, Price LL, Harper D, Lo GH, Miller E, Ward RJ, McAlindon TE. Development of a rapid knee cartilage damage quantification method using magnetic resonance images. BMC Musculoskelet Disord. 2014;15:264.

Zhang M, Driban JB, Price LL, Lo GH, Miller E, McAlindon TE. Development of a Rapid Cartilage Damage Quantification Method for the Lateral Tibiofemoral Compartment Using Magnetic Resonance Images: Data from the Osteoarthritis Initiative. BioMed research international. 2015;2015:634275.

Bone Marrow lesion (BML)

Bone Marrow Lesion (BML) Description:
We have a customized semiautomatic software to measure BMLs, which we defined as regions of high-signal intensity within bone on IW FS MR images (femur, tibia, and patella).

Measurement time:
around 10 min/knee MRI.

Reliability: 
Intra-tester (ICC [3,1] = 0.98)
Inter-tester (ICC [2,1] = 0.96)

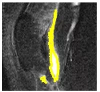
Bone marrow lesion

Publications:
Driban JB, Price LL, Lo GH, Pang J, Hunter DJ, Miller E, Ward RJ, Eaton CB, Lynch JA, McAlindon TE. Evaluation of bone marrow lesion volume as a knee osteoarthritis biomarker - longitudinal relationships with pain and structural changes: data from the Osteoarthritis Initiative. Arthritis Res Ther. 2013;15(5):R112.

Zhang M, Driban JB, Price LL, Lo GH, McAlindon TE. Magnetic Resonance Image Sequence Influences the Relationship between Bone Marrow Lesions Volume and Pain: Data from the Osteoarthritis Initiative. BioMed research international. 2015;2015:731903.

Effusion-Synovitis volume

Effusion-Synovitis Volume Description:
We have a customized semi-automatic software to measure knee effusion-synovitis volume.

Measurement time:
around 10 min/knee MRI.

Reliability: 
Intra-tester (ICC [3,1] = 0.87)
Inter-tester (ICC [2,1] = 0.91)

Effusion
Bone volume fraction (BVF)

Bone Volume Fraction (BVF) Description:
We have a customized semi-automatic software to measure trabecular bone volume (BV/TV)

Measurement time:
Around 8 min/knee MRI.

Reliability:
Intra-tester (ICC [3,1] = 0.99).

Bone volume

Publications:
Driban JB, Barbe MF, Amin M, Kalariya NS, Zhang M, Lo GH, Tassinari AM, Harper D, Price LL, Eaton CB, Schneider E, McAlindon TE. Validation of quantitative magnetic resonance imaging-based apparent bone volume fraction in peri-articular tibial bone of cadaveric knees. BMC Musculoskelet Disord. 2014;15:143.

Cartilage denudation

Cartilage Denudation Description:
We have a customized semi-automatic software to measure cartilage denudation area (mm2) or denudation ratio (denudation size/cartilage size)

Measure time: 
< 8 min/knee MRI

Reliability: 
intra-tester ICC [3,1] = 0.91~0.99

Cartilage
Bone Marrow density (BMD)

Bone Marrow Density(BMD) Description:
We have software to measure the ratio of bone marrow density (BMD) in the medial tibial plateau and lateral tibial plateau.

Bone marrow

Publications:
Lo GH, Hunter DJ, Zhang Y, McLennan CE, Lavalley MP, Kiel DP, McLean RR, Genant HK, Guermazi A, Felson DT. Bone marrow lesions in the knee are associated with increased local bone density. Arthritis Rheum. 2005;52(9):2814-21.

Our team

Timothy McAlindon, Professor 
Timothy McAlindon, MD, MPH is the Chief of the Division of Rheumatology at Tufts Medical Center and a Professor of Medicine at Tufts University School of Medicine. His expertise includes osteoarthritis, general rheumatology and lupus. He has been supported by multiple grants including several from the National Institutes of Health. His research has been published in prestigious journals and have been influential in guiding osteoarthritis treatment.


Ming Zhang, Assistant Professor 
Dr. Zhang received his PhD in Computer Science and has worked on medical image processing research since 2005. His primary professional focus has been clinical and epidemiologic studies of osteoarthritis images. His current research focus is on combining image processing technique and osteoarthritis research, exploring novel biomarker and imaging markers to gain a better understanding of osteoarthritis pathophysiology and potential disease phenotypes. He designed software to speed measure bone volume fraction, bone marrow lesions, effusions, cartilage denudation, and subchondral cyst for osteoarthritis research. Email: mzhang@tuftsmedicalcenter.org


Jeffrey B. Driban, Assistant Professor 
Jeffrey B. Driban, PhD, ATC, CSCS is an Assistant Professor in the Division of Rheumatology at Tufts University School of Medicine and a member of the Special and Scientific Staff at Tufts Medical Center. The goal of his research is to explore novel biochemical and imaging markers to gain a better understanding of osteoarthritis and potential disease subsets. Dr. Driban received his Bachelors of Science in Athletic Training from the University of Delaware. He received a Masters of Education and Doctor of Philosophy in Kinesiology with an Emphasis in Athletic Training from Temple University. In January 2010, he began a post-doctoral research fellowship in the Division of Rheumatology at Tufts Medical Center where he continued his osteoarthritis focus and learned new magnetic resonance imaging assessment strategies. Dr. Driban also aims to raise awareness about osteoarthritis and promote primary and secondary prevention strategies for physically active individuals as a member of the of the Athletic Trainers' Osteoarthritis Consortium and by serving as the National Athletic Trainers' Association's representative in the Osteoarthritis Action Alliance.


Grace Lo, Adjunct Assistant Professor 
Dr. Lo is an academic rheumatologist who is an Assistant Professor of Medicine at the Baylor College of Medicine with a faculty position at the Michael E. DeBakey VA Medical Center.  She is an Adjunct Assistant Professor of Medicine at Tufts Medical Center and works closely with the Tufts Osteoarthritis Center Investigators on a number of osteoarthritis research projects, including investigation of the use of dual x-ray absorptiometry technology as a prognostic tool for knee osteoarthritis.  She is also has an interest in exploring potentially modifiable risk factors for knee osteoarthritis including cardiovascular risk factors, psychosocial risk factors and physical activity.  She is also interested in improving outcome assessments in knee osteoarthritis, with a recent publication in press in Arthritis and Rheumatology entitled, “Symptom Assessment in Knee Osteoarthritis Needs to Account for Physical Activity Level.”


Lori Lyn Price, Assistant Professor 
Lori Lyn Price, MAS is a statistician in the Biostatistics, Epidemiology, and Research Design (BERD) Center at Tufts CTSI and has a faculty appointment at the Tufts University School of Medicine. Since 2001, through the Biostatistics, Epidemiology, and Research Design Center, Ms. Price has provided statistical research support to clinical researchers throughout the Tufts Medical Center and Tufts University community, as well as to collaborators at other institutions. She has provided statistical support for NIH-funded grants as well as smaller grants and consulting projects.  Ms. Price serves as a statistical mentor to research fellows in the Graduate School of Biomedical Sciences at Tufts University Clinical and Translational Science program. She received her MAS in statistics from The Ohio State University. Prior to that, she worked at the Cleveland Clinic Foundation.

Jump back to top